HHMI appointment
Congratulations to our PI on becoming a HHMI Freeman Hrabowski Scholar by the Howard Hughes Medical Institute!
Our laboratory studies aging with the goal to improve healthspan and find effective treatments for age-related diseases. To do this, we focus on understanding the biology of senescent cells, dysfunctional cells that accumulate in organisms over time and drive aging diseases.
We pioneer the development of CAR T cells able to eliminate these senescent cells. In our studies we harness senolytic cell therapy to both understand the biology of senescent cells and to develop new therapeutic strategies.
Congratulations to our PI on becoming a HHMI Freeman Hrabowski Scholar by the Howard Hughes Medical Institute!
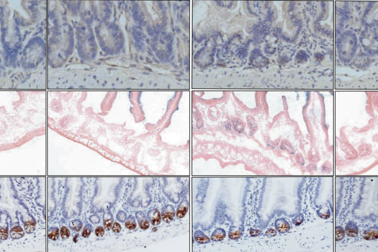
We are excited to share our latest publication describing the effects of uPAR positive cells in intestinal aging and the potential of senolytic CAR T cells to promote tissue regeneration.
Many congratulations to our first PhD Student, Emmanuella Nnuji-John, on successfully defending her PhD!
Thrilled to share our latest preprint reporting the pro-regenerative effects of senolytic CAR T cells in the aged gut. Important implications for the use of CAR T cells in regenerative medicine!
We are excited to share our latest publication describing the profile and metabolic effects of senolytic CAR T cells in physiological aging!
Congratulations to our PI on her promotion to Assistant Professor and Cancer Center program co-leader!