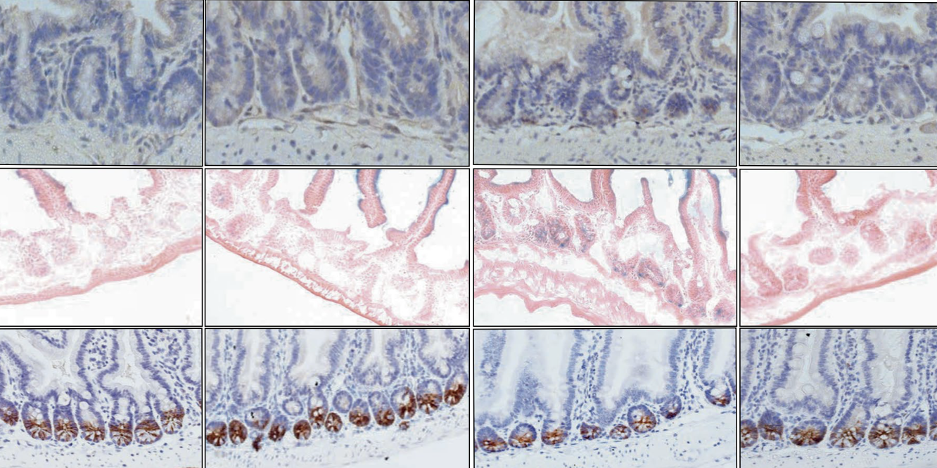
We are excited to share our latest publication describing the effects of uPAR positive cells in intestinal aging and the potential of senolytic CAR T cells to promote tissue regeneration.
We are excited to share our latest publication describing the effects of uPAR positive cells in intestinal aging and the potential of senolytic CAR T cells to promote tissue regeneration.