Skip to content
516 376 5504amor@cshl.edu
X page opens in new windowGithub page opens in new window
Amor Lab
Amor LabAmor Lab
  • Home
  • Research
  • Publications
  • People
  • Join Us!
  • Home
  • Research
  • Publications
  • People
  • Join Us!

Daily Archives: October 23, 2025

You are here:
  1. Home
  2. 2025
  3. October
  4. 23

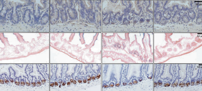
New publication!

Sin categoríaBy VictorHapigamiOctober 23, 2025

We are excited to share our latest publication describing the effects of uPAR positive cells in intestinal aging and the potential of  senolytic CAR T cells to promote tissue regeneration.

Amor Lab

Go to Top